Parodontitis-Therapie
Parodontits ist die Entzündung des Zahnhalteapparates. Diese ist neben der Karies die häufigste Erkrankung in der Mundhöhle und Ursache für den Zahnverlust in der zweiten Lebenshälfte.
Der Zahnhalteapparat (Parodont) ist das funktionelle Befestigungssystem jedes Zahnes. Er besteht aus verschiedenen Stützgeweben, die die Funktion haben, den Zahn im Knochen zu verankern und dabei die Belastungen auf diesen zu übertragen.Dazu gehören, das Zahnfleisch, der Knochen und verschiedene Fasern und Zellschichten, die den Zahn mit dem Knochen verbinden.
Das gesunde Zahnfleisch hat eine hellrote Farbe, ist nicht geschwollen, blutet nicht und hat einen girlandenförmigen Verlauf. Der gesunde Zahn ist natürlicherweise von einer Zahnfleischtasche von 2 - 3 mm umgeben.
ZAHNFLEISCHERKRANKUNGEN HABEN OFT MEHRERE URSACHEN
- mangelnde Mundhygiene
- Engstand und Fehlstellungen der Zähne
- kohlenhydratreiche Ernährung (Zucker/Stärke)
- Rauchen
- intensiver Alkoholgenuss
-
innere Erkrankungen, z. B. Diabetes, Lebererkrankungen, Herz-Kreislauf-Erkrankungen, Osteoporose
Bleiben Beläge auf dem Zahn, siedeln sich dort Bakterien an. Diese reizen das Zahnfleisch durch Toxinbildung und es kommt zu einer Zahnfleischentzündung (=Gingivitis). Das Zahnfleisch wird stark gerötet, fängt leicht an zu bluten und ist geschwollen.
Bleibt die hohe Bakterienzahl über längere Zeit bestehen, wandern diese in die Tiefe der natürlichen Tasche um den Zahn und die Entzündung greift leztztendlich auf den Zahn über. Durch diese Entzündung kommt es zu Knochenabbau.
Knochen, der einmal verloren gegangen ist, kann sich nicht mehr wieder aufbauen.
Ziel der Parodontitis- Therapie ist es, diese Entzündung zu stoppen, um somit einen weiteren Knochenabbau, der letztendlich zum Verlust der Zähne führt, zu verhindern. Dafür ist eine spezielle Therapie nötig, da die Bakterien, die sich einmal in die Tiefe der Tasche abgesiedelt haben, nicht mehr mit der herkömmlichen Zahnpflege mit der Zahnbüste entfernt werden können.
Diagnostik
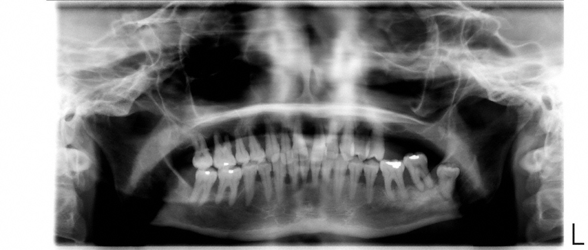
Eine initiale Diagnostik kann eine Fotodokumentation, die Bestimmung diverser Indizes (z. B. Plaqueindex, API) und Röntgenaufnahmen beinhalten. Bei den Röntgenaufnahmen wird in der Regel eine Panoramaaufnahme angefertigt. Von nicht vital reagierenden und wurzelgefüllten sowie nicht auf der Aufnahme ausreichend erkennbaren Zähnen werden Zahnfilme erstellt. Unter Umständen kann eine Aufnahme aller Zähne mittels Zahnfilmen anstelle einer Panoramaaufnahme erfolgen. Die Röntgendiagnostik gibt Auskunft über Zustand, Form und Beschaffenheit von Zahnhartsubstanz, Alveolenknochen (Knochen um den Zahn) und Restaurationen.
Nach Erhebung eines Parodontalstatus kann eine zusätzliche spezielle Diagnostik notwendig sein. Heute gibt es im Bereich der Mikrobiologie und Immunologie durch verbesserte Nachweismethoden die Möglichkeit, die klinische Diagnostik zu ergänzen. Diese Verfahren konzentrieren sich auf den Nachweis mutmaßlicher parodontopathogener Bakterien.
Vor Beginn der Parodontalbehandlung ist eine Messung der Taschentiefe nötig. Diese wird mithilfe einer speziellen, stumpfen Parodontalsonde durchgeführt. Die Sonde wird in die Tasche eingeführt und anhand entsprechender Markierungen kann die Tiefe der Tasche ermittelt werden und somit das Ausmaß des Knochenabbaus ermittelt werden. Je tiefer eine Tasche ist, desto mehr Knochen hat sich zuvor abgebaut. Taschen ab einer Tiefe von 4mm werden als pathologisch betrachtet.
Gleichzeitig wird beobachtet, ob und wie stark es zu leichten Blutungen aus den Zahnfleischtaschen kommt. Je stärker die Blutung ist, desto entzündeter ist das Zahnfleisch.
Mit Hilfe dieser beiden Parameter (Taschentiefe und Blutung) kann eine Code- Einteilung erfolgen. Bei Code 3 und Code 4 wird eine Parodontalbehandlung notwendig
Technik/ Therapie
Die Parodontal-Behandlung richtet sich nach Erkrankungsschwere und -dauer.
Der erste Schritt: Die Vorbehandlung
Die Parodontitis- Therapie erfordert eine sehr gute Mitarbeit des Patienten. Nur wenn die Bakterienzahl deutlich gesenkt werden kann, wird auch die Parodontitis- Therapie erfolgreich sein. Bei der Vorbehandlung wird daher individuell besprochen, wie und mit welchen Mittel Beläge effektiv entfernt werden können und die Benutzung verschiedenste Möglichkeiten geübt.
Unterstützend dazu werden die Zähne profesionell von harten und weichen Belägen in der Praxis beseitigt. Außerdem werden mögliche, störende Füllungsränder korrigiert.
Der zweite Schritt: Die Parodontal-Behandlung
Sind die Bakterien oberhalb des Zahnfleischsaums über einen längeren Zeitraum stark reduziert worden, kann mit der Reinigung des Zahnes in den Taschen begonnen werden. Häufig ist zu diesem Zeitpunkt das Zahnfleisch nicht mehr so stark gereizt wie zum Beginn der Therapie. Mit Hilfe von Handinstrumenten (Küretten) wird der am Zahn unter dem Zahnfleisch befindliche (und daher nicht sichtbare) Zahnstein sowie Bakterienbeläge entfernt.
Die gereinigte und geglättete Wurzeloberfläche bietet somit keinen Halt mehr für Bakterien.
Zur Unterstützung der Heilung können Medikamentenschienen, spezielle Spüllösungen oder die orale Gabe von Antibiotika eingesetzt werden. Der individuelle Befund gibt die Therapie vor.
Geschlossene Kürettage
Die geschlossene Kürettage ist die Standard-Therapie der Parodontitis, die ohne operativen Eingriff verläuft.
Sie beinhaltet die intensive Reinigung der Wurzeloberflächen von Bakterien und festen Belägen sowie das Glätten der Wurzeloberflächen unter Einsatz von Hand- und Ultraschallinstrumenten.
Offene Kürettage (Lappenoperation)
Im Seitenzahnbereich wird die offene Kürettage bei Furkationsbeteiligung eingesetzt. Dieser chirurgische Eingriff ermöglicht einen direkten Zugang und Sicht zu den parodontalen Schäden und somit die bessere und intensivere Reinigung der Wurzel- und Knochenoberflächen.
Recall
Für einen möglichst lang anhaltenden Erfolg der Parodontalbehandlung sind sowohl eine regelmäßige Nachsorge mit professionellen Prophylaxemaßnahmen als auch eine systematische, konsequente und intensive häusliche Zahnpflege von ausschlaggebender Bedeutung. Um eine möglichst lange Haltbarkeit der Zahnerhaltung zu gewährleisten, sollte der Patient zunächst alle 3 Monate, später alle 6 Monate eine regelmäßige Kontrolle und eine Professionelle Zahnreinigung beim Zahnarzt durchführen lassen.
Die Erhaltungstherapie bzw. Recall ist der wichtigste Teil der Parodontalbehandlung.
In den Recall-Sitzungen werden diagnostische und therapeutische Maßnahmen sowie die Professionelle Zahnreinigung, Politur, Fluoridierung, die Reinigung unterhalb des Zahnfleisches und die Rezidivbehandlung durchgeführt. Da Parodontitis eine chronische Erkrankung des Zahnhalteapparats ist, muss die individuelle Mundhygiene auf den Patienten abgestimmt und überdurchschnittlich intensiv, konsequent und zeitlebens betrieben werden. Die Nachsorge ist ein wichtiger Abschnitt der Behandlung. Um eine möglichst lange Haltbarkeit der Zahnerhaltung zu gewährleisten, sollte der Patient zunächst alle 3 Monate, später alle 6 Monate eine regelmäßige Kontrolle und eine Professionelle Zahnreinigung beim Zahnarzt durchführen lassen.
Am wichtigsten ist aber die eigene systematische und regelmäßige häusliche Pflege. Elektrische Zahnbürsten können oszillierend rotierend für gut trainierte Patienten oder schallaktiv für untrainierte Patienten sein. Bei Parodontitis-Patienten ist der Interdentalraum in der Regel erweitert und daher besonders zu beachten und zu behandeln. Für die möglichst langfristige Erhaltung des Behandlungsergebnisses ist die systematische, regelmäßige und intensive Säuberung des Zwischenraumes eine wichtige Voraussetzung. Dazu braucht der Parodontitis-Patient Hilfsmittel wie Zahnseide, Zahnhölzer, Flauschzahnseide und Interdentalbürstchen.
